Sitemize üye olarak beğendiğiniz içerikleri favorilerinize ekleyebilir, kendi ürettiğiniz ya da internet üzerinde beğendiğiniz içerikleri sitemizin ziyaretçilerine içerik gönder seçeneği ile sunabilirsiniz.
Zaten bir üyeliğiniz mevcut mu ? Giriş yapın
Sitemize üye olarak beğendiğiniz içerikleri favorilerinize ekleyebilir, kendi ürettiğiniz ya da internet üzerinde beğendiğiniz içerikleri sitemizin ziyaretçilerine içerik gönder seçeneği ile sunabilirsiniz.
Üyelerimize Özel Tüm Opsiyonlardan Kayıt Olarak Faydalanabilirsiniz

Rus doktorlar, 80 yaşındaki kadının beynine hayatı boyunca gizlenmiş bir iğneyi bularak dikkat çekici bir hayatta kalma hikayesiyle karşılaştı. İğne, beceriksizce yapılan bir bebek cinayetinin sonucu gibi görünüyor, ancak herhangi bir büyük sağlık sorununa neden olmuş gibi görünmüyor ve ortadan kaldırılmayacak.
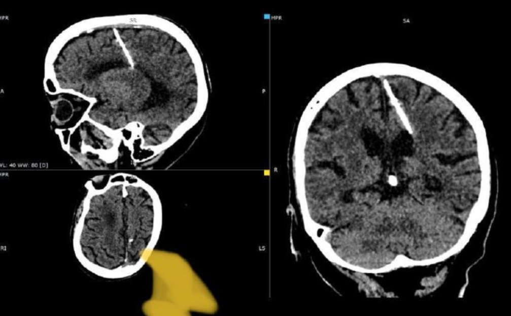
Tuhaf vaka bu ayın başlarında Rusya’nın doğu kıyısındaki uzak bir adada keşfedildi. Sakhalin’deki yerel sağlık otoriteleri tarafından bildirildi. Doktorların, CT taraması sırasında kadının beyninde bu iğneyle ilgisi olmayan 3 santimetrelik iğneyi keşfettiği bildirildi. Sağlık Bakanlığı’ndan iğne görüntüleri Telegram sayfasında Paylaşıldı.

Sağlık bakanlığına göre enjeksiyon muhtemelen Kızın 1943’teki doğumundan kısa bir süre sonra ailesi tarafından batırıldı. Trajik bir şekilde, 2. Dünya Savaşı’ndan etkilenen bölgelerde yiyecek sıkıntısı çeken aileler bazen özellikle bu yöntemi kullanarak bebeklerini öldürmeyi tercih ediyor. İğne beynin fontaneline yerleştirilir (Bebeğin kafasındaki yumuşak nokta – fontanel) suya batırılıyordu ve bu delik daha sonra hızla kapatılarak eyleme dair tüm kanıtlar ortadan kaldırıldı. Yerel sağlık departmanı yaptığı açıklamada şunları söyledi:Kıtlık yıllarında bu tür vakalar nadir değildi” söz konusu.
Şaşırtıcı bir şekilde, Kadın, parietal lobuna yerleştirilen iğneye rağmen hayatta kaldı. Üstelik yaralanma nedeniyle herhangi bir ciddi sağlık sorunu, hatta baş ağrısı bile yaşamadığı görülüyor. Ve şu anda herhangi bir tehlikede olduğu düşünülmüyor. Sağlık bakanlığından yapılan açıklamaya göre, iğneyi çıkarmaya çalışmanın kadına gerçekten zarar verebileceği ihtimali göz önünde bulundurularak, ilgili doktor kadının durumunu izlemeye karar verdi.
Yaralanmanın yeri ve türüne bağlı olarak beynin bazen fiziksel hasara karşı inanılmaz derecede dirençli olabildiği biliniyor. Bazı durumlarda insanlar beyninin bir yarımküresinin tamamını kaybetmelerine rağmen nispeten iyi yaşayabilirler. Beyin, özellikle yaşamın erken dönemlerinde yeni bağlantılar kurma ve yeniden bağlantı kurma yeteneğine sahip olduğundan, bu yaralanmalara çok genç yaşta maruz kalan kişilerin daha az komplikasyonla hayatta kalma olasılıkları daha yüksek olabilir.
Yorum Yaz